欢迎访问金寨县人民医院!

国家三级综合性医院
安徽医科大学第一附属医院金寨医院

当前位置: 网站首页 > 新闻动态 > 本院新闻

“介入”未来,迎接新希望

发布时间:2020-07-10 14:47:22 信息来源:金寨县人民医院 作者:黄红波 浏览:2844 次
【字体大小:

 2020年7月5日是非常平凡的一天,但对于金寨县人民医院介入科来说,这一天却是非常不平凡的一天。在这一天我科成功完成两例主动脉夹层手术,其中一例尤为复杂,手术难度相当大,我科始终坚持以病人为中心、患者的利益高于一切的理念,迎难而上,为患者行介入手术,完美封堵主动脉夹层破口,给患者带来新希望。

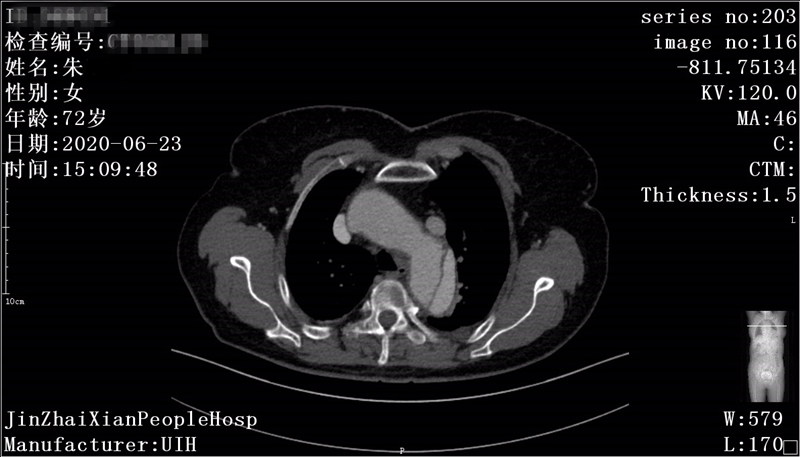
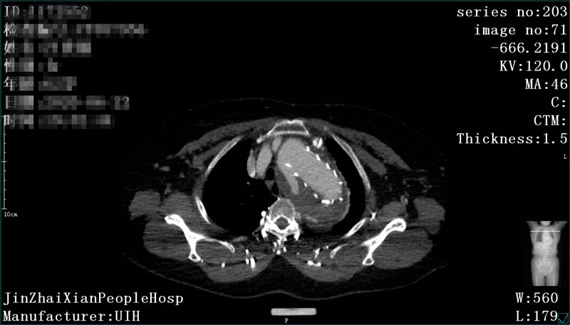
      患者朱某,女,72岁,家住我县全军乡,6月22日下午突发胸背部剧痛至我院急诊科就诊,行胸部CTA检查考虑主动脉夹层(Debakey  III型),急请我科会诊。会诊后以主动脉夹层收住介入科,积极给予稳定血压、镇痛治疗。因该患者为先天性失聪失语,沟通十分困难、不畅,祝国臣副主任通过患者女儿耐心与患者沟通,详细询问病情,仔细检查患者体征,并与患者家属说明患者的病情与风险,患者家属了解病情后,十分感激祝国臣医生,决定手术治疗。我科积极完善相关术前准备及手术所需材料,于 7月5日在DSA下行“主动脉、左锁骨下动脉造影+分支型覆膜支架腔内隔绝术”,术中患者破口及真假腔显示明确,破口位置与左锁骨下动脉距离较近,给手术带来一定的困难,根据患者术中造影情况,制定详细手术方案,既保证覆膜支架安全成功释放,又保证不影响左锁骨下动脉血供。术后患者病情平稳,现患者血压、心率稳定,患者胸背部疼痛症状消失。

术前CT显示主动脉夹层真假腔及破口位置

术中造影明确真假腔位置及与周围大血管关系

术后造影假腔消失,左锁骨下动脉显示良好,支架周围未见造影剂外溢(内瘘)征象

      患者汪某,女,62岁,家住我县天堂寨镇,患者源于2年前无明显诱因下出现胸背部疼痛,外院检查后确诊"主动脉夹层",曾行"主动脉覆膜支架腔内隔绝术"。术后反复出现胸背部疼痛不适,伴有胸闷、咳嗽症状,休息后可好转。因上述症状加重就诊我院呼吸内科,门诊查主动脉全程增强CTA见主动脉弓边缘见一直径约11mm破口影,造影剂经破口流入主动脉周围血肿内。CTA提示:主动脉夹层,患者为求进一步诊治遂至介入科就诊,拟"主动脉夹层"收住入院。入院后我科积极完善相关术前准备及检查,于 7月5日在DSA下行“主动脉、双侧颈总动脉、左锁骨下动脉造影+分支型覆膜支架腔内隔绝术+左锁骨下动脉开窗覆膜支架植入术+胸主动脉覆膜支架植入术”。术后病情平稳,现患者胸闷症状消失、咳嗽明显好转。

术前CTA见造影剂经破口处外溢

术前造影,原支架近端可见造影剂外溢,原支架远端胸主动脉呈瘤样扩张

术中开窗后定位       

术后造影,主动脉弓处破口消失,左颈总动脉显示可,左锁骨下动脉显示良好,胸主动脉显示良好,原扩张段消失,支架周围未见明显内漏。    

        主动脉夹层指主动脉腔内血液才能够主动脉内膜撕裂口进入主动脉中膜,使中膜分离,并沿主动脉长轴方向扩展,从而造成主动脉真、假两腔分离的一种改变,是一种可危及生命的灾难性疾病,不处理的病人3%的猝死率,两天内死亡率可达72%,一周内可达91%。主动脉腔内隔绝术(TEVAR)是近年来治疗主动脉夹层的首选治疗方式,与传统手术相比创伤明显减小,术后并发症显著降低。我科自2019年7月以来,行胸、腹主动脉腔内隔绝术共8例,目前我科可行手术:

1、肝癌、肝血管瘤的介入治疗:超选择性肝动脉造影并化疗栓塞TACE

2、主动脉病变:1、主动脉缩窄 2、主动脉瘤 3、主动脉夹层

3、腹主动脉球囊阻断术

4、各种内脏动脉病变:如肾动脉、腹腔干动脉、肠系膜上动脉、肠系膜下动脉、肝动脉、脾动脉,病变类型:狭窄、动脉瘤、急性栓塞、夹层

5、布—加综合征(B-CS)

6、肝硬化、门静脉高压合并消化道出血、顽固性腹水的介入治疗TIPS

7、食道狭窄的介入治疗

8、胃肠营养管、肠梗阻导管置入

9、梗阻性黄疸的介入治疗:经皮经肝穿刺胆道造影并引流管置入术PTCD

10、脾功能亢进的介入治疗:选择性脾栓塞

11、下肢深静脉血栓:下腔静脉滤器置入+下肢深静脉置管溶栓

12、下肢动脉急性栓塞

13、透析通路病变的介入治疗:透析通路狭窄、透析通路急性血栓形成

14、透析通路建立:头静脉-桡动脉端侧吻合术,长期透析导管置入术

15、上腔静脉阻塞综合症、无名静脉及上肢静脉狭窄

16、消化道、内脏、骨盆等大出血介入栓塞

17、前列腺栓塞术

18、子宫肌瘤栓塞术

19、囊肿穿刺抽吸+硬化

20、脓肿穿刺置管引流

      联系咨询电话:0564——7055005、7055006

扫一扫在手机打开当前页